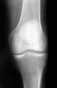
Reumatyzm zaczyna się od zwyrodnienia stawów to patologiczne zmiany chrząstki stawowej. Cierpiący na zwyrodnienia odczuwają sztywność stawów, która może trwać dłużej niż pół godziny (ta dolegliwość pojawia się z reguły rano). Ból nasila się podczas poruszania się. Zwyrodnieniowy ból w stawie biodrowym koncentruje się w pachwinie i z przodu (lub z boku) uda. Na skutek przykurczu w stawie może dojść do skrócenia kończyny.
Stluczenia - jak sobie z nimi radzićStłuczenie jest urazem tkanek miękkich, dochodzi do uszkodzenia tkanki podskórnej lub mięśni oraz do wylewu krwi do tkanek. Stłuczenie jest skutkiem upadku albo nagłego uderzenia. Jeśli dojdzie do stłuczenia to typowymi objawami są ból, obrzęk oraz sinienie. Może także pojawić się krwiak. Najczęściej dochodzi do stłuczenia rąk i kolan. Na stłuczenia podatne są opuszki palców. Wyjątkowo dotkliwe są stłuczenia małego palca dłoni oraz kciuka, a także krwiaki podpaznokciowe.

W jaki sposób przeprowadzić stłuczenia leczenie? Stłuczony fragment ciała powinno się unieruchomić, trzeba robić zimne okłady, jakie złagodzą ból. Zwyrodnienia stawów są to patologiczne zmiany chrząstki stawowej. Chorujący na zwyrodnienia odczuwają sztywność stawów, jaka może trwać dłużej niż pół godziny (ta dolegliwość pojawia się z reguły rano). Ból nasila się podczas poruszania się. Zwyrodnieniowe bóle w stawie biodrowym skupiają się w pachwinie oraz z przodu (albo z boku) uda. Wskutek przykurczu w stawie może dochodzić do skrócenia jednej z kończyn.

UWAGA! Chcesz zamieścić ten artykuł na swojej stronie?
» Pamiętaj o zachowaniu formatowania tekstu i ewentualnych odnośników do reklamowanych stron w formie aktywnej.
» Zamieść informację na temat pochodzenia artykułu wstawiając pod nim poniższy kod w niezmienionej wersji:

» Pochwal się w komentarzach gdzie zamieściłeś artykuł. Na pewno jego autor ucieszy się z tego i z chęcią odwiedzi Twoją stronę.


Inne artykuły użytkownika